
Read about Richard's 24 Hour Teeth story by clicking HERE

We followed the patient weekly for the first four weeks and every other week for the next month and once a month for the third and fourth months.
The post-op course was uneventful with one exception. The implant at #15 had a very low insertion torque at time of surgery and was not included in the provisional. It never integrated and was removed several weeks ago.
An implant was planned at #31 but was unsuccessful in an attempt to place it.
After a 15-week integration period the restorative phase was commenced.
On March 2 the provisional was sectioned distal to the canines and a back-action hammer was used to remove the anterior segment.
The four anterior abutments were prepared in the mouth with copious irrigation and an impression made.
2 three-unit bridges were designed and milled and delivered on Tuesday March 3.
The back-action hammer was used to remove the three unit temporary from 28-30, the abutments were prepared and an impression made for a three-unit splint.
This was delivered on March 4 and the lower left was started

By March 5, the lower case was finished.

Each of the 4 appointments took approximately 30 minutes.
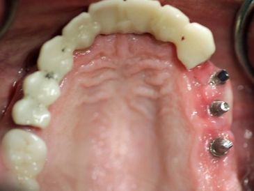
After the lowers, we removed the maxillary temporary and extracted the upper lateral incisors. We waited for the extraction sites to heal.

The upper arch was also treated in a segmented fashion.

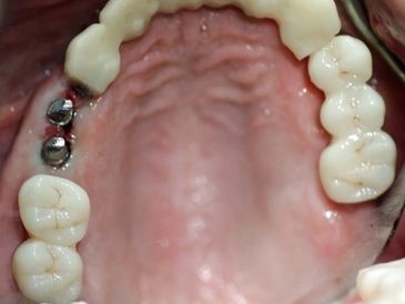
Unlike the lower arch we began with the posterior segments, restoring segmentally and keeping the vertical dimension that was created in the provisionals.

Like restoring the Lowers, each appointment took approximately 30 minutes each.

Simplify the overall job by segmenting.
By cutting the Lower into thirds, we were able to work on 3 and 4 unit bridges opposed to the full arch.

By segmenting the Upper, we simplified the design and milling process just like we did for the Lower.
24 Hour Teeth uses cement versus screws and the patients real gums are visible, no fake pink.

We're happy you're here. Check out this article about Dr. Gibney's advancement in technology.