Chuck has been a patient of Dr. Gibney's for many years.
This was his smile with and without his partials before 24 Hour Teeth.
This is Chuck's 24 Hour Teeth experience.

Before the dental implant surgery, Dr. Gibney uses digital technology to review dental implant placement.

A premade surgical guide was used during the dental implant surgery for the top arch.
It ensures the dental implants are placed in correct locations.

Chuck had 11 dental implants placed: 5 on top and 6 on the bottom.
The surgery took a little over 2 hours from start to finish.


After taking a CAT scan of Chuck post surgery, Dr. Gibney reviews the images. The CAT scan allows Dr. Gibney to review all dental implant placement.

Dr. Gibney digitally scans models of Chuck's mouth to create temporary teeth.
These images are transferred to the mill. The mill begins drilling into a puck. Pucks are available in different shades of white to give the patient an authentic smile.
The mill works for 3 to 4 hours. When the mill is done, Dr. Gibney removes the temporary from the puck. The temporary teeth are stained and glossed to look exactly like real teeth.

Chuck returns to Dr. Gibney's office later that afternoon. He's been resting at home after the morning's dental implant surgery and is back to have his temporary teeth cemented in.
Dr. Gibney spends some time with Chuck reviewing the dental implant surgery before sitting down to cement his new teeth.


Dr. Gibney cements the lower arch temporary teeth.

Chuck is handed a mirror to see his new teeth...

The bottom arch temporary teeth are in and look great! Chuck is done for the day and has temporary teeth cemented in while his implants heal.

Chuck returns the next morning - Day Two. His top arch of temporary teeth milled over night.
Dr. Gibney cements the top arch of temporary teeth to Chuck's dental implants.

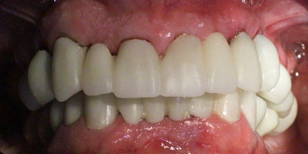
The final step of 24 Hour Teeth has been completed. Chuck has a full smile!

Chuck's 24 Hour Teeth Smile



Chuck's smile changed drastically within 24 hours.
If you are interested in this process, call us today!
(352) 686 - 4223

We're happy you're here. Check out this article about Dr. Gibney's advancement in technology.