
Cristina has been a lifelong patient of Dr. Gibney's.
She started having serious dental problems in her teenage years.

By the time she was an adult, she had all of her teeth pulled and was wearing dentures.

Before surgery begins, Dr. Gibney takes a CT scan of Cristina wearing a scanned appliance.
The scanned appliance will show where the implants will go.

If the scans show any possible issues with the implant locations, he can adjust his plan before surgery.

If there are no issues, he drills holes into the scanned appliance turning it into a surgical guide.
The surgical guide is used during implant surgery to ensure correct implant placement.

Surgery begins and Cristina is lightly sedated to ensure her comfort.

Dr. Gibney surgically implants 10 posts on the top and then 10 posts on the bottom.

This surgery typically takes less than 2 hours to complete.

After surgery, Dr. Gibney takes CAT scan images and impressions to review the implant surgery and create her temporary teeth. Immediately after, Cristina is sent home to rest.
The images are sent electronically to the dental mill. The mill drills into a puck which will create her temporary teeth.

The mill first drills the lower temporary teeth. Later that afternoon, Cristina returns to have her lower teeth cemented.
They look great and she leaves for the night to rest.

Cristina returns early on Day Two. Her upper temporary teeth have milled overnight and are ready to be cemented in.
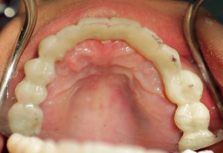
Dr. Gibney checks how the bite between the upper and lower temporary teeth fit. You can see the marks on Cristina's teeth from checking the bite.
Some gentle drilling is done to make the upper and lower teeth have a compatible bite.
.jpg/:/cr=t:2.85%25,l:0%25,w:100%25,h:67.57%25/rs=w:600,h:300,cg:true)
Cristina has a brand new smile and feels like a new person!
"Even when I'm at work in my work clothes getting dirty from the job, I still feel beautiful because of my teeth"
--Cristina

Cristina's smile changed drastically within 24 hours.
If you are interested in this process, call us today!
(352) 686 - 4223

We're happy you're here. Check out this article about Dr. Gibney's advancement in technology.