
Tim is a long time patient of Dr. Gibney's. His teeth have been steadily declining in health. Throughout the years, Dr. Gibney has been fixing Tim's teeth with temporary solutions. When Dr. Gibney developed his "24 Hour Teeth", Tim was one of the first patients to sign up.



Tim's 24 Hour Teeth case began early on Day One with dental implant surgery.
Tim had 7 implants placed on top.

After surgery, Dr. Gibney designs Tim's new teeth.

Tim returns for his temporary teeth.

He lived with these temporary teeth cemented in for four months while his implant sites healed.

Tim returns after 4 months. His implant sites have completely healed.

Dr. Gibney is able to deliver the final, permanent teeth.

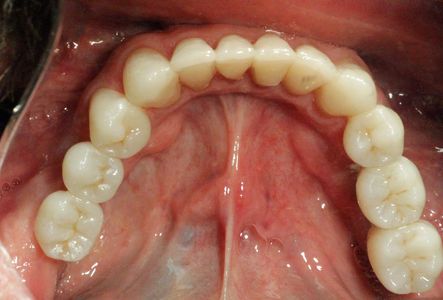
Lower final restorations

Tim's smile changed drastically within 24 hours.
If you are interested in this process, call us today!
(352) 686 - 4223

We're happy you're here. Check out this article about Dr. Gibney's advancement in technology.