
John has been a patient for almost 15 years

John was wearing temporaries before surgery.

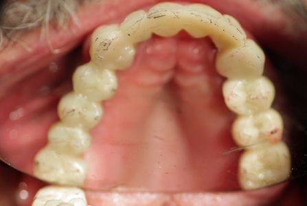
John's arch with the temporaries removed.
.jpg/:/cr=t:17.53%25,l:0%25,w:100%25,h:64.94%25/rs=w:600,h:300,cg:true)
Before surgery begins, Dr. Gibney reviews John's CAT scans and the planned implant placement. He is planning on placing 7 implants on John's upper arch.

Dr. Gibney used a surgical guide to drill holes for the implants. After the holes are made, the implants are hammered and drilled in to widen the hole. After the hole has been widened, the implant is inserted.

Surgery began at 9:35 am and is completed by 9:55 am. The planned 7 implants that were planned were successfully implanted within the 20 minutes of surgery.

After surgery, impressions are taken with posts screwed into the implants.

Impression that will be filled and then used to create John's new teeth.

Dr. Gibney scans the impression and then designs John's new teeth.

The teeth are designed and sent to the mill.

A colored puck is chosen for the teeth to be made out of. John requested a shade that would suite him - he did not want bright white.

The mill uses the different drill sizes to create the temporary teeth. It takes about 4 hours to create the full arch.

John has been home resting while the mill created his new teeth. He returns 4-5 hours later for them to be delivered.

Once the teeth are placed onto the implant posts with cement, Dr. Gibney adjusts the bite between both arches.

These temporary teeth will act as a cast for the next 4-6 months while the implant sites heal and fuse with John's bone. A permanent arch will be delivered when healing is complete.
The marks are from adjusting the bite with wax paper - they easily come off.

John's smile changed drastically within 24 hours.
If you are interested in this process, call us today!
(352) 686 - 4223

We're happy you're here. Check out this article about Dr. Gibney's advancement in technology.